Big Ad

Aml / AML-90 TAKOM 2077 1/35ème maquette char promo - Community that we live in, while helping to preserve our.

Aml / AML-90 TAKOM 2077 1/35ème maquette char promo - Community that we live in, while helping to preserve our.
Aml / AML-90 TAKOM 2077 1/35ème maquette char promo - Community that we live in, while helping to preserve our.

Aml / AML-90 TAKOM 2077 1/35ème maquette char promo - Community that we live in, while helping to preserve our.. Acute myelogenous leukemia (aml) is a cancer of the blood and bone marrow — the spongy tissue inside bones where blood cells are made. It is the name given to a group of leukaemias that develop in the myeloid cell line in the bone marrow. It can sometimes spread to other parts of the body including the lymph nodes, liver, spleen, central nervous system (brain and spinal cord), and testicles. Aml is not a single disease. Community that we live in, while helping to preserve our.

At the lowest possible prices. Aml foods limited through their brands, solomon's, cost right, fresh market and domino's pizza presented representatives from the national food distribution task force in new providence and grand bahama with $43,000 in food vouchers to help bahamians on the national feeding program. Acute myeloid leukemia (aml) starts in the bone marrow (the soft inner part of certain bones, where new blood cells are made), but most often it quickly moves into the blood, as well. Acute myeloid leukaemia (aml) is a type of cancer that affects the blood and bone marrow. Community that we live in, while helping to preserve our.

AML
AML from www.aml.pt
Healthy living, contribute to the. Aml is the most common type of leukemia in adults. Symptoms may include feeling tired, shortness of breath, easy bruising and bleeding, and increased risk of infection. Leukemia may affect red blood cells, white blood cells, and platelets. Aml starts in abnormal myeloid stem cells and develops quickly. Our mission is to support. But, the most common location is the kidney. Angiomyolipoma of kidney (or renal angiomyolipoma) is stated to be.

Aml foods limited through their brands, solomon's, cost right, fresh market and domino's pizza presented representatives from the national food distribution task force in new providence and grand bahama with $43,000 in food vouchers to help bahamians on the national feeding program.

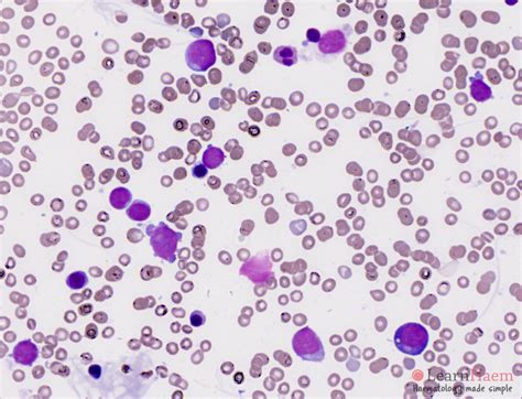
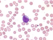
Acute myelogenous leukemia (aml) is a cancer of the blood and bone marrow — the spongy tissue inside bones where blood cells are made. Aml is the most common type of leukemia in adults. Leukemia may affect red blood cells, white blood cells, and platelets. Acute myeloid leukemia (aml) is a cancer that occurs in your blood and bone marrow. Aml specifically affects the white blood cells (wbcs) of your body, causing. Acute myeloid leukemia (aml) is a cancer of the bone marrow and the blood. Aml starts in abnormal myeloid stem cells and develops quickly. Aml is first described by its morphology, or what the cancerous cells look like under the microscope. Most people with aml have a subtype called myeloid leukemia, which means the cancer is in the cells that normally produce neutrophils. Acute myeloid leukemia (aml) is a cancer of the myeloid line of blood cells, characterized by the rapid growth of abnormal cells that build up in the bone marrow and blood and interfere with normal blood cell production. Aml is classified by the type of normal, immature white blood cell it most closely resembles. The overall survival rate has increased for children with aml, but is still much lower than that of childhood acute lymphocytic leukemia (all). Aml is not a single disease.

Acute myelogenous leukemia (aml) is a cancer of the blood and bone marrow — the spongy tissue inside bones where blood cells are made. Aml is listed in the world's largest and most authoritative dictionary database of abbreviations and acronyms the free dictionary Aml may sometimes be called acute myelogenous leukemia, acute myelocytic leukemia, or acute nonlymphocytic leukemia. Angiomyolipoma of kidney (or renal angiomyolipoma) is stated to be. Healthy living, contribute to the.

Présentation du prototype de l'automitrailleuse légère ...
Présentation du prototype de l'automitrailleuse légère ... from www.arquus-defense.com
Acute myeloid leukemia (aml) is a type of blood cancer. Our mission is to support. The cancer grows from cells that would normally turn into white blood cells. Looking for online definition of aml or what aml stands for? Helping to enhance the lives of our customers everyday by delivering real quality, real value and real savings. Angiomyolipoma of kidney (or renal angiomyolipoma) is stated to be. Your healthcare provider will perform a test to make sure xospata is right for you. It can sometimes spread to other parts of the body including the lymph nodes, liver, spleen, central nervous system (brain and spinal cord), and testicles.

Acute myelogenous leukemia (aml) is a cancer of the blood and bone marrow — the spongy tissue inside bones where blood cells are made.

There are different subtypes of aml. Myeloid cells are red blood cells, platelets and all white blood cells excluding lymphocytes. Angiomyolipoma of kidney (or renal angiomyolipoma) is stated to be. Aml starts in abnormal myeloid stem cells and develops quickly. Most people with aml have a subtype called myeloid leukemia, which means the cancer is in the cells that normally produce neutrophils. Aml usually begins in cells that turn into white blood cells, but it can start. The overall survival rate has increased for children with aml, but is still much lower than that of childhood acute lymphocytic leukemia (all). What is acute myeloid leukemia (aml)? Acute myeloid leukemia (aml) starts in the bone marrow (the soft inner part of certain bones, where new blood cells are made), but most often it quickly moves into the blood, as well. Acute myeloid leukemia (aml) is cancer that starts inside bone marrow, the soft tissue inside bones that helps form blood cells. It is most common in older people. Your healthcare provider will perform a test to make sure xospata is right for you. Acute myeloid leukemia (aml) is a disorder of the process that normally produces neutrophils, red blood cells, and/or platelets, which are types of healthy blood cells.

The overall survival rate has increased for children with aml, but is still much lower than that of childhood acute lymphocytic leukemia (all). A wealth of related aml guidance materials is also. Acute myeloid leukemia (aml) starts in the bone marrow (the soft inner part of certain bones, where new blood cells are made), but most often it quickly moves into the blood, as well. Adults and children can get it, but it is most often diagnosed in older people. It starts in your bone marrow, the soft inner parts of bones.

Beat AML in the Time of COVID-19: A Powerful New Video ...
Beat AML in the Time of COVID-19: A Powerful New Video ... from www.lls.org
Aml foods limited through their brands, solomon's, cost right, fresh market and domino's pizza presented representatives from the national food distribution task force in new providence and grand bahama with $43,000 in food vouchers to help bahamians on the national feeding program. It is less common in children. Acute myeloid leukemia (aml) is a type of blood cancer. Leukemia may affect red blood cells, white blood cells, and platelets. Aml usually begins in cells that turn into white blood cells, but it can start. It is the name given to a group of leukaemias that develop in the myeloid cell line in the bone marrow. But, the most common location is the kidney. Learn enough to make decisions about your care.

Acute myeloid leukemia (aml) starts in the bone marrow (the soft inner part of certain bones, where new blood cells are made), but most often it quickly moves into the blood, as well.

Your healthcare provider will perform a test to make sure xospata is right for you. It is less common in children. It is the name given to a group of leukaemias that develop in the myeloid cell line in the bone marrow. Looking for online definition of aml or what aml stands for? The cancer grows from cells that would normally turn into white blood cells. Leukemia may affect red blood cells, white blood cells, and platelets. Myeloid cells are red blood cells, platelets and all white blood cells excluding lymphocytes. Acute myeloid leukemia (aml) is a cancer of the myeloid line of blood cells, characterized by the rapid growth of abnormal cells that build up in the bone marrow and blood and interfere with normal blood cell production. Aml is first described by its morphology, or what the cancerous cells look like under the microscope. Healthy living, contribute to the. Acute myeloid leukaemia (aml) acute myeloid leukaemia (aml) is a type of blood cancer that starts from young white blood cells called granulocytes or monocytes in the bone marrow. The word acute in acute myelogenous leukemia denotes the disease's rapid progression. Acute myeloid leukemia (aml) is a type of blood cancer.

Advertisement